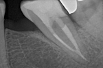
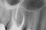
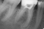
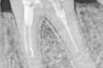
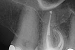
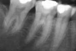
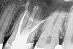
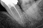
Revisionsbehandlung eines Unterkiefermolaren (37) vor geplanter Überkronung (Dr. Maik Göbbels) Download