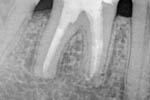
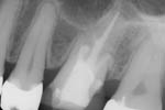
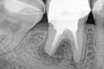
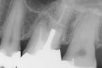
Die Revision eines zuvor wurzelspitzenresezierten Zahns bietet im Vergleich zu einer wiederholten Resektion entscheidende Vorteile. Durch den orthograden Zugang besteht die Möglichkeit der vollständigen Desinfektion des infizierten Wurzelkanalsystems. Parallel können durch Inspektion (IKD) mittels optischer Vergrößerung (Dentalmikroskop) Ursachen der mikrobiellen Infektion wie unbehandelte Wurzelkanäle, Isthmen, Stufen etc. erkannt und sicher therapiert werden, welche durch eine Wurzelspitzenresektion (WSR) nicht zu beeinflussen sind. Vor allem der Ausschluss von Frakturen, die nicht bis zum Neoapex reichen, ist für die Prognose des Zahns entscheidend. Die orthograde Revision stellt ein minimalinvasives Therapieverfahren dar und dem Patienten wird ein erneuter operativer Eingriff erspart. Sensible anatomische Strukturen wie der Nervus alveolaris inferior oder der Sinus maxillaris können damit hinreichend geschont werden.

Nach Autor filtern:

Literatur

Success rate of orthograde endodontic retreatment after failed apicectomy – a retrospective study.

Success rate of orthograde endodontic retreatment after failed apicectomy – a retrospective study.
Autor(en): Appel, D., Schäfer, E., Appel, C.
Fundstelle: International Endodontic Journal 2023; 56:7: 819–826

Results: The mean follow-up of the included 191 patients (124 females, 67 males) was 32.13 (±23.68) months and the median was 25 months. The overall recall rate was 54%. Cohen Kappa analysis revealed nearly perfect agreement between both observers (k = 0.81; p = 1.0). The overall percentage of success was 84.82% (complete healing 79.06%, incomplete healing 5.76%). The median survival was 86 months (95% CI: 56–86). None of the selected predictors had an influence on the treatment outcome (p > .05).

Conclusions: Orthograde retreatment should be considered a valuable treatment option after failed apicectomy. A surgical endodontic retreatment can still be a treatment option after orthograde retreatment to obtain outcome for the patient.

Download

Orthograde Revision nach Wurzelspitzenresektion.

Orthograde Revision nach Wurzelspitzenresektion.
Autor(en): Drebenstsdt S, Hülsman M, Bargholz C.
Fundstelle: Endodontie 2011; 20: 285–293

Die nicht-chirurgische, rein orthograde Revisionsbehandlung an bereits wurzelspitzenresezierten Zähnen wird zunehmend als Therapieoption bei Persistenz oder Neuentwicklung einer Parodontitis apicalis nach apikal-chirurgischer Behandlung diskutiert. Der folgende Beitrag zeigt und diskutiert an Fallbeispielen mögliche Gründe für Misserfolge nicht-chirurgischer Revisionen an wurzelspitzenresezierten Zähnen.

Download

Retreatment of a resected tooth associated with a large periradicular lesion by using a triple antibiotic paste and mineral trioxide aggregate: a case report with a thirty-month follow-up.

Retreatment of a resected tooth associated with a large periradicular lesion by using a triple antibiotic paste and mineral trioxide aggregate: a case report with a thirty-month follow-up.
Autor(en): Kusgoz A, Yildirim T, Er K et al.
Fundstelle: J Endod 2009; 35: 1603–1606

Trauma to the teeth and supporting structures is a frequent problem among children. Endodontic treatment is necessary for 41.3% of traumatized teeth. Two of the most important criteria for successful endodontic treatment are the elimination of microorganisms and apical sealing. A combination of antibiotic drugs (metranidozole, ciprofloxacin, and minocycline) is used to eliminate target bacteria, which are possible sources of endodontic lesions. For cases in which apical sealing is difficult, specific materials to plug the apical region have been advocated. Mineral trioxide aggregate (MTA) has become the material of choice because it is biocompatible and has bacteriostatic action. This case report describes the nonsurgical retreatment of a traumatized tooth that had already undergone unsuccessful apical resection associated with a large periradicular lesion. A combination of antibiotic drugs was used as an intracanal medicament, and MTA was used to obtain a hermetic seal of the lateral tooth that had undergone unsuccessful apical resection. On follow up, the tooth was clinically and radiographically asymptomatic for 30 months. The results of this case show that MTA and triple antibiotic paste can be used clinically in the treatment of an unsuccessfully resected tooth associated with a large periradicular lesion.

Download

Outcome of orthograde retreatment after failed apicoectomy: use of a mineral trioxide aggregate apical plug.

Outcome of orthograde retreatment after failed apicoectomy: use of a mineral trioxide aggregate apical plug.
Autor(en): Mente J, Leo M, Michel A et al.
Fundstelle: J Endod 2015; 41: 613–620

This controlled, single-center historic cohort study project evaluates treatment outcomes of a nonsurgical treatment approach after failed apicoectomy. The treatment outcomes of nonsurgical retreatment after a failed apicoectomy were evaluated clinically and radiographically. The study cohort consisted of teeth that had received primary root canal treatment and subsequent apicoectomy elsewhere before the patients presented with post-treatment disease. Orthograde retreatment and obturation using an apical mineral trioxide aggregate plug was performed by postgraduate students and endodontic specialists in 25 cases between 2004 and 2012. Pre-, intra-, and postoperative information and the potential effect on the retreatment outcome were evaluated and statistically analyzed using the chi-square test. Twenty-two patients with 23 teeth attended the follow-up examinations (recall rate = 92%). The follow-up periods ranged from 12 to 102 months (median = 35 months). Twenty teeth (87%) were classified as “success,” and 3 teeth were considered (17%) “failure.” The chi-square test confirmed that the preoperative factor “number of roots” had a statistically significant effect on treatment outcome (odds ratio = 0.08; 95% confidence interval, 0–1.76; P = .03). The factor “tooth location” was of borderline significance (odds ratio = 0.1; 95% confidence interval, 0–2.14; P = .05). The results of the present study suggest that orthograde retreatment combined with orthograde placement of an apical mineral trioxide aggregate plug is a promising long-term treatment option for teeth with postsurgical pathosis. The success rates were higher for single-rooted teeth. The use of cone-beam computed tomographic imaging in cases of inconclusive periapical radiographs is recommended to minimize the risk of misinterpretation when assessing treatment outcome.

Download

Orthograde Revision bei persistierender periapikaler Parodontitis nach Wurzelspitzenresektion.

Orthograde Revision bei persistierender periapikaler Parodontitis nach Wurzelspitzenresektion.
Autor(en): Appel C.
Fundstelle: DZZ 2011; 66: 196–211

War in der Vergangenheit die Wurzelspitzenresektion (WSR) mehr oder weniger die letzte Option für den Zahnerhalt nach misslungener orthograder Behandlung, kann unter Ausnutzung aktueller Möglichkeiten die orthograde Revision bei Misserfolg nach WSR eine weitere Möglichkeit sein, einen natürlichen Zahn zu erhalten. Bei der Wurzelspitzenresektion ist die retrograde Präparation und Füllung des Wurzelkanals quasi eine conditio sine qua non. Jedoch sollte wenn möglich, immer der orthograden Revision der Vorzug vor der Wurzelspitzenresektion gegeben werden. Durch die weiterhin bestehende Möglichkeit einer WSR wird dem Patienten die höchste Erfolgsrate ermöglicht. Bei persistierender apikaler Parodontitis nach Wurzelspitzenresektion ist die orthograde Revision eine wichtige Möglichkeit für den Zahnerhalt.

Download

Nonsurgical retreatment of teeth with periapical lesions previously managed by either endodontic or surgical intervention.

Nonsurgical retreatment of teeth with periapical lesions previously managed by either endodontic or surgical intervention.
Autor(en): Caliskan MK.
Fundstelle: Oral Surg Oral Med Oral Pathol Oral Radiol Endod 2005; 100: 242–248

The purpose of this study was to evaluate the outcome of nonsurgical retreatment of teeth with periapical lesions, which had been previously managed by either endodontic or surgical intervention, and to identify factors that might influence the prognosis. Seventy-five endodontically and 11 surgically treated teeth with persisting periapical lesions ranging in size from 2 to 11 mm in diameter were included in this study. The teeth were nonsurgically retreated, using calcium hydroxide as intracanal medicament, and were followed for a period of 2 to 8 years. Clinical and radiographic assessment of retreatment showed that complete healing for all cases was 61.6% with an additional category of incomplete healing of 14%; 24.4% failed. The size of the periapical lesions and previous surgical treatment had marginally negative influences on the prognosis, but the differences were not statistically significant. The favourable results of this study demonstrated that nonsurgical root canal retreatment is an alternative to surgical intervention of postendodontic or postsurgical failure.

Download

Nonsurgical retreatment of a postsurgical endodontic failure.

Nonsurgical retreatment of a postsurgical endodontic failure.
Autor(en): Kleier DJ.
Fundstelle: J Endod 1984; 10: 577–579

A 45-yr-old Caucasian woman was referred by her family dentist because of pain and periapical pathology associated with both her maxillary central incisors. The teeth had been endodontically treated and retrofill amalgams had been placed. Both teeth were diagnosed as postsurgical endodontic failures. The teeth were retreated nonsurgically. An 18-month recall examination showed normal soft tissue anatomy and an apparent decrease in the size of the periapical radiolucencies. Nonsurgical retreatment of postsurgical endodontic failures is an alternative to reoperation or extraction.

Download

Ist die Revision nach Resektion machbar und erfolgreich? – ein Fallbericht

Ist die Revision nach Resektion machbar und erfolgreich? – ein Fallbericht
Autor(en): Göbbels M.
Fundstelle: ZWR – Das Deutsche Zahnärzteblatt 2015; 124 (7+8): 344–347

Die Revision eines zuvor wurzelspitzenresezierten Zahns bietet im Vergleich zu einer wiederholten Resektion entscheidende Vorteile. Durch den orthograden Zugang besteht die Möglichkeit der vollständigen Desinfektion des infizierten Wurzelkanalsystems. Parallel können durch Inspektion (IKD) mittels optischer Vergrößerung (Dentalmikroskop) Ursachen wie unbehandelte Wurzelkanäle, Isthmen, Stufen etc. erkannt und sicher therapiert werden, welche durch eine Wurzelspitzenresektion (WSR) nicht zu beeinflussen sind. Vor allem der Ausschluss von Frakturen, die nicht bis zum Neoapex reichen, ist für die Prognose des Zahns entscheidend.

Download

Die orthograde Revision bei persistierender Parodontitis apicalis nach Wurzelspitzenresektionen.

Die orthograde Revision bei persistierender Parodontitis apicalis nach Wurzelspitzenresektionen.
Autor(en): Hülsmann M, Drebenstedt S, Nordmeyer S et al.
Fundstelle: Endodontie 2011; 20: 251–267

Die Erfolgsquote von Wurzelspitzenresektionen wird in der Literatur mit 25 % bis 99 % angegeben1. Bei Scheitern eines apikalchirurgischen Eingriffs galt der Zahn bislang häufig als austherapiert und die Extraktion als die Therapie der Wahl. Alternativ wurde eine erneute Resektion vorgeschlagen. In einer Reihe von Falldarstellungen wird von Versuchen berichtet, mithilfe modernen Instrumentariums (Ultraschall und Dentalmikroskop) und neuer Materialien (MTA) diese Fälle nicht-chirurgisch durch eine rein orthograde Revision zu behandeln. Der folgende Beitrag soll das derzeitige Wissen hierzu zusammenfassen, die Vorschläge zur Vorgehensweise bei orthograder Revision nicht erfolgreicher Wurzelspitzenresektionen vorstellen und Möglichkeiten sowie Grenzen dieser Therapieoption aufzeigen.

Download

Orthograde Revision an Zähnen mit apikaler Aufhellung und Zustand nach Wurzelspitzenresektion.

Orthograde Revision an Zähnen mit apikaler Aufhellung und Zustand nach Wurzelspitzenresektion.
Autor(en): Herrmann H-W.
Fundstelle: Endodontie 2007; 16: 321–328

Am Beispiel zweier Falldarstellungen werden die Möglichkeiten des Erhalts von Zähnen mit persistierender Parodontitis apicalis nach vorangegangener Wurzelspitzenresektion aufgezeigt. Durch den Einsatz moderner Behandlungsmethoden gelang es, die bereits als extraktionswürdig eingestuften Zähne zu erhalten.

Download

Fälle